
در مورد تیروئید چشمی چه می دانید؟
الهه آذری
علمی
نظر : 0
بیماری چشمی تیروئید (بیماری چشمی گریوز)
انواع خاصی از بیماری تیروئید می تواند بر بافت های اطراف چشم شما تأثیر بگذارد و باعث التهاب، تورم و درد شود. به این بیماری، بیماری چشمی تیروئید (بیماری چشمی گریوز) گفته می شود. اکثر موارد خفیف هستند. اما موارد شدید می توانند در عضلات چشم و پلک های شما اختلال ایجاد کنند و مانع از حرکت و بسته شدن صحیح چشمان شما شوند. این می تواند مشکلات مختلفی را برای چشمان شما ایجاد کند. ممکن است برای درمان آن به ترکیبی از درمان ها نیاز داشته باشید.
بیماری چشمی تیروئید چیست؟
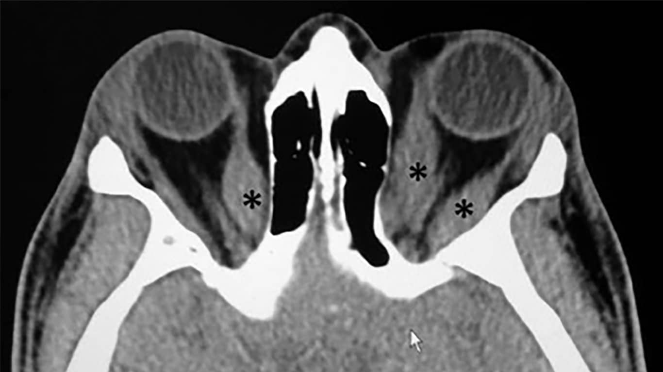
بیماری چشمی تیروئید باعث سوزش و تورم اطراف چشم می شود که می تواند باعث برآمدگی آن شود. در بیماری چشمی تیروئید، تورم و سوزش اطراف چشم در نهایت می تواند باعث برآمدگی آن به سمت بیرون شود. بیماری چشمی تیروئید (TED) یک اختلال التهابی است که بافت های اطراف چشم را تحت تأثیر قرار می دهد و باعث تورم، ناراحتی و سایر علائم می شود. این بیماری در برخی از افرادی که بیماری های خودایمنی دارند که به غده تیروئید آنها حمله می کند، رخ می دهد. اغلب در افرادی که بیماری گریوز دارند، رخ می دهد. در این مورد، پزشک شما ممکن است آن را بیماری چشمی گریوز بنامد. اگرچه بیماری های خود ایمنی مادام العمر هستند، TED مراحل مشخصی دارد. ممکن است قبل از فروکش کردن التهاب، دو سال یا بیشتر فعال باشد. در این مدت، علائم ممکن است ظاهر و ناپدید شوند و ممکن است خفیف تا شدید باشند. TED برای اکثر افراد خفیف است. اما وقتی شدید باشد، می تواند باعث آسیب دائمی شود و تغییرات زیبایی و بینایی پایدار ایجاد کند. افتالموپاتی و اوربیوپاتی دو اصطلاح دیگر برای بیماری چشم هستند.

پزشک شما ممکن است TED را به صورت زیر توصیف کند:
افتالموپاتی تیروئید / اوربیتوپاتی تیروئید / افتالموپاتی گریوز / اوربیتوپاتی گریوز
علائم معمول افتالموپاتی تیروئید عبارتند از:
برآمدگی چشم (پروپتوز) / سوزش چشم / پلک های متورم و ملتهب (بلفاریت) / خشکی چشم یا اشک آلودگی چشم / پلک زدن مکرر / حساسیت به نور (فتوفوبیا) / درد چشم و سردرد / مشکل در حرکت دادن چشم ها / دوبینی (دیپلوپی)
علائم معمولاً هر دو چشم را تحت تأثیر قرار می دهند، اما گاهی اوقات، ممکن است فقط علائم را در یک چشم مشاهده کنید.

عوارض بیماری چشمی گریوز
تغییرات ظاهری و بینایی که در بیماری چشمی تیروئید رخ می دهد، ممکن است پس از پایان مرحله فعال بهبود یابد، اما همیشه اینطور نیست. جای زخم می تواند مانع از بهبود بافت های اطراف چشم و بازگشت آنها به شکل طبیعی خود شود. گاهی اوقات، قسمت هایی از چشم که بر بینایی شما تأثیر می گذارند، به طور دائمی آسیب می بینند. جراحی می تواند برخی از این اثرات را درمان کند.
تغییرات ظاهری پایدار ممکن است شامل موارد زیر باشد: انقباض پلک / چشم های بیرون زده / چشم های پف کرده / چشم های قرمز
تغییرات بینایی پایدار ممکن است شامل موارد زیر باشد: تاری دید / دوبینی / کاهش شدید بینایی / علل بیماری چشمی تیروئید
بیماری چشمی تیروئید یک بیماری خود ایمنی است. این بدان معناست که سیستم ایمنی بدن شما به بافت های تیروئید و چشم شما حمله می کند. بیماری گریوز یک علت شایع است، اما سایر بیماری های خود ایمنی تیروئید، مانند بیماری هاشیموتو، نیز می توانند باعث آن شوند. حتی افرادی که عملکرد تیروئید طبیعی دارند نیز می توانند به TED مبتلا شوند. در این بیماری ها، سیستم ایمنی بدن شما آنتی بادی هایی ایجاد می کند که هورمون های تیروئید را تقلید می کنند و به گیرنده های هورمون تیروئید متصل می شوند. این گیرنده ها عمدتاً در خود تیروئید شما هستند، اما برخی از آنها در بافت های پشت چشم شما قرار دارند. بنابراین، همان آنتی بادی هایی که بر تیروئید شما تأثیر می گذارند، می توانند بر چشمان شما نیز تأثیر بگذارند.

عوامل خطر بیماری چشمی تیروئید
اگر موارد زیر را داشته باشید، احتمال ابتلا به بیماری چشمی تیروئید (بیماری چشمی گریوز) در شما بیشتر است:
- زن هستید. زنان پنج برابر بیشتر احتمال دارد به بیماری گریوز و بیماری چشمی گریوز مبتلا شوند. (اما وقتی مردان به آن مبتلا می شوند، احتمال شدت آن بیشتر است.)
- سطح هورمون تیروئید بالا یا پایین دارید. سطح غیرطبیعی هورمون تیروئید می تواند در TED نقش داشته باشد. این هورمون ها همان گیرنده هایی را در بافت های چشم شما تحریک می کنند که آنتی بادی ها انجام می دهند.
- درمان با ید رادیواکتیو داشته اید. درمان RAI یک درمان استاندارد برای تیروئید پرکار (پرکاری تیروئید) است که بیماری گریوز باعث آن میشود. اما ممکن است در TED نقش داشته باشد یا آن را بدتر کند.
- سیگار. سیگار کشیدن و قرار گرفتن در معرض دود سیگار به طور قابل توجهی خطر ابتلا به بیماری چشمی تیروئید را افزایش می دهد. قرار گرفتن در معرض دود همچنین باعث می شود علائم شدیدتری داشته باشید که مدت زمان بیشتری طول بکشند. اگر به TED مبتلا هستید، بهترین کاری که می توانید برای بیماری خود انجام دهید ترک سیگار است.

چه آزمایش هایی برای تشخیص بیماری چشمی تیروئید انجام می شود؟
پزشک می تواند با انجام معاینه فیزیکی چشم، بیماری چشمی تیروئید را تشخیص دهد. آن ها می توانند پلک ها و چشمان شما را معاینه کنند. اگر پزشک شما فکر کند که شما بیماری چشمی تیروئید دارید، آزمایش خون تجویز می کند تا بررسی کند که آیا سطح هورمون تیروئید و آنتی بادی های شما خیلی بالا یا خیلی پایین است یا خیر.
آزمایش های دیگری که پزشک شما ممکن است درخواست کند عبارتند از: سونوگرافی چشم / توموگرافی کامپیوتری (CT) / تصویربرداری رزونانس مغناطیسی (MRI)
درمان بیماری چشمی تیروئید چیست؟
درمان مورد نیاز شما بستگی به مرحله بیماری و شدت آن دارد. درمان های حمایتی می توانند به کاهش علائم شما در حالی که بیماری چشمی تیروئید فعال است کمک کنند. این درمان ها ممکن است شامل داروهای خانگی، داروهای بدون نسخه یا تجویزی باشد. پس از پایان مرحله فعال، ممکن است به جراحی زیبایی یا جراحی اصلاح بینایی نیاز داشته باشید یا بخواهید.
درمان های حمایتی برای بیماری چشمی تیروئید ممکن است شامل موارد زیر باشد:
- قطره های چشمی. در طول مرحله فعال TED، قطره های چشم می توانند به تسکین علائم شما کمک کنند. انواع مختلف قطره های چشم می توانند به علائم مختلف مانند خشکی، قرمزی یا درد کمک کنند.
- مکمل های سلنیوم. کمبود سلنیوم علائم TED را افزایش می دهد.
- لنزهای اسکلرال. مشابه لنزهای تماسی، این لنزها سطح بیشتری از چشم شما را می پوشانند و از عناصر محافظت می کنند. همچنین می توانید از آنها برای استفاده از دارو استفاده کنید.
- کمک های بینایی. اگر دوبینی دارید، چشم پزشک شما ممکن است استفاده از چشم بند یا عینک های مخصوص با منشور را برای کمک به اصلاح آن در حالی که بیماری چشمی تیروئید فعال است، پیشنهاد کند.
- تیونامیدها. اگر پرکاری تیروئید (بیماری چشمی گریوز) دارید، ممکن است به داروهایی برای کاهش سطح هورمون تیروئید خود نیاز داشته باشید. از جمله متی مازول و پروپیل تیوراسیل.
- کورتیکو استروئیدها. هنگامی که علائم TED شدیدتر است، ارائه دهندگان مراقبت های بهداشتی یک دوره کوتاه کورتیکو استروئیدها را برای کاهش التهاب تجویز می کنند. می توانید آنها را از طریق دهان یا IV (داخل وریدی، از طریق ورید) مصرف کنید.
- تپروتوموماب. این داروی جدیدتر، اولین دارویی بود که به طور خاص برای درمان بیماری چشمی تیروئید در ایالات متحده در سال ۲۰۲۰ تأیید شد. این یک داروی ضدالتهاب جایگزین در دسته داروهای بیولوژیک است. داروهای بیشتری مانند آن در حال توسعه هستند.
- پرتودرمانی. پزشک چشم شما ممکن است توصیه کند که برای بررسی پرتودرمانی به یک متخصص انکولوژی پرتودرمانی مراجعه کنید، که با از بین بردن سلول های ایمنی فعال در پشت چشم شما، التهاب را کاهش می دهد.
اگر این روش ها برای شما مؤثر نباشند، تیم مراقبت های بهداشتی شما می تواند درمان های جایگزین را ارائه دهد. به ندرت، برخی از افراد ممکن است در طول مرحله فعال بیماری چشمی گریوز به جراحی نیاز داشته باشند. اما در بیشتر موارد، شما و تیمتان پس از تثبیت وضعیت شما، جراحی را در نظر خواهید گرفت. در این مرحله، تشخیص اینکه کدام تغییرات ظاهری و بینایی احتمالاً دائمی هستند، آسان تر خواهد بود.

جراحی برای بیماری چشمی تیروئید ممکن است شامل موارد زیر باشد:
- جراحی رفع فشار حدقه چشم. این جراحی چشم ممکن است در موارد نادری که التهاب، عصب بینایی شما را تحت فشار قرار می دهد، ضروری باشد. جراح استخوان را برای کاهش فشار برمی دارد. این جراحی همچنین ممکن است برای کاهش برآمدگی چشم پس از تثبیت وضعیت شما انجام شود.
- تیروئیدکتومی. این عمل پرکاری تیروئید شدید را درمان میکند. اگر تیم مراقبت های بهداشتی شما نتواند سطح هورمون تیروئید شما را با دارو کنترل کند، ممکن است نیاز به برداشتن غده تیروئید شما داشته باشد.
- جراحی پلک. اگر پلک های شما جمع شده باشند، ممکن است برای تغییر موقعیت آنها به جراحی پلک نیاز داشته باشید. این می تواند راحتی و همچنین ظاهر شما را بهبود بخشد و از قرار گرفتن چشمان شما در معرض نور محافظت کند.
- جراحی عضلات چشم. اگر عضلات چشم شما زخم شده و حرکت چشم شما را محدود می کنند، یا به دلیل ناهماهنگی چشمانتان دوبینی دارید، ممکن است به جراحی روی عضلات چشم خود نیاز داشته باشید.
- جراحی اکولوپلاستیک. جراحی اکولوپلاستیک بافت های نرم و یا استخوان های اطراف چشم شما را تنظیم می کند. این جراحی می تواند نگرانی های زیبایی مانند برآمدگی چشم و کیسه های اطراف چشم شما را برطرف کند.
- پیوند قرنیه. اگر قرنیه شما در طول فاز فعال بیماری گریوز به دلیل قرار گرفتن در معرض نور خورشید به شدت آسیب دیده باشد، می توانید برای بهبود بینایی خود، جایگزینی آن با پیوند قرنیه را در نظر بگیرید.

چشم انداز بیماری چشمی تیروئید چیست؟
چشم انداز برای اکثر افراد مبتلا به بیماری چشمی تیروئید خوب است. اکثر آنها علائم خفیفی دارند که اغلب خود به خود برطرف می شوند. افراد بالای 50 سال معمولاً علائم شدیدتری دارند. اگر به TED شدید مبتلا هستید، ممکن است برای مدیریت آن به ترکیبی از درمان ها نیاز داشته باشید. برخی از افراد تغییرات پایداری در چشمان خود دارند که ممکن است نیاز به جراحی داشته باشد.
چه زمانی باید با پزشک خود تماس بگیرم؟
هنگامی که بیماری چشمی تیروئید دارید، مهم است که در صورت بدتر شدن علائم، به تیم مراقبت های بهداشتی خود اطلاع دهید. همچنین در صورت مشاهده هرگونه تغییر در بینایی خود، باید به آنها اطلاع دهید. برخی از تغییرات ممکن است نیاز به درمان فوری داشته باشند. در صورت مشاهده موارد زیر، فوراً تماس بگیرید:
- میدان دید شما تنگ یا بسته شده است.
رنگ ها متفاوت از گذشته به نظر می رسند.
درد ناگهانی و شدید چشم.
*** بیماری چشمی تیروئید (بیماری چشمی گریوز) می تواند تأثیر واقعی بر کیفیت زندگی شما داشته باشد. در حالی که اکثر افراد علائم شدیدی نخواهند داشت، اما اگر این علائم را داشته باشید، می تواند بسیار ناراحت کننده باشد. التهاب اطراف چشم می تواند بر راحتی و بینایی و همچنین ظاهر شما تأثیر بگذارد.
نظرات